На приеме Игорь И., 25 лет

    Жалобы на
  • снижение памяти, забывчивость (пациент работает переводчиком и страдает от того, что забывает при переводе предыдущие предложения, что сильно затрудняет работу)
  • затруднения при пересказе прочитанного
  • трудности подбора слов при разговоре и в выражении собственных мыслей
  • снижение умственной работоспособности
  • сильную утомляемость при умственной и физической нагрузке
  • постоянную общую слабость

Симптомы крайне негативно влияют на профессиональную деятельность и личную жизнь пациента, что приводит к снижению настроения, ощущению постоянной тревоги, раздражительности, внутренней скованности и напряжения, озабоченности, беспокойства по мелочам.

  • В анамнезе – эпизодические подъемы АД до 150\90 мм рт.ст., измерение артериального давления проводилось спонтанно, пациент лечение не получал (подъемы АД отмечает с 16 лет, но в поликлинику не обращался)
  • Вес 110 кг, рост 175 см, нарушений углеводного обмена нет. Масса тела начала расти из-за нарушений питания: пациент «заедал» тревожные мысли, особенно в вечернее и ночное время.
  • Психотропные препараты не получал, алкоголь практически не употребляет, не курит
  • Физическая активность низкая (работа в основном сидячая), спортом не занимается
  • Наследственность отягощена (у обоих родителей Артериальная гипертензия, у отца ИБС)
  • В неврологическом статусе отклонений от нормы нет
Результаты нейропсихологического тестирования

Оценка скорости. Пациента за одну минуту попросили назвать как можно больше слов, которые начинаются с буквы С. Пациент назвал только 10 слов (нижняя граница нормы – 11 слов, для пациентов в старшем возрасте). Согласно полученным данным, Игорь плохо включается в познавательную деятельность.

Впервые боль в области над- и подостной мышц ощутил несколько недель назад на тренировке в спортзале (играл в волейбол), но не придал этому эпизоду особого значения. Постепенно болевой симптом усиливался, что и привело к врачу.

    Монреальская шкала оценки когнитивных функций (МоСА):
  • общее количество баллов – 28 (максимально возможное количество баллов 30; 26 баллов и более считается нормальным, 25 и менее свидетельствуют о наличии когнитивных нарушений) тест в норме

Таблицы Шульте (диагностика свойств переключения и распределения внимания, темпа и сенсомоторных реакций): 7-12-22-33-38 секунд (в норме итоговое время выполнения пробы Шульте составляет 25-30 секунд)

Оценка зрительно-конструктивных навыков (куб, часы):

Тест символьно-цифрового кодирования:
40 баллов (норма – 45 и более баллов за 90 секунд)

    Госпитальная шкала тревоги и депрессии:
  • Тревога – 14 баллов
  • Депрессия – 12 баллов

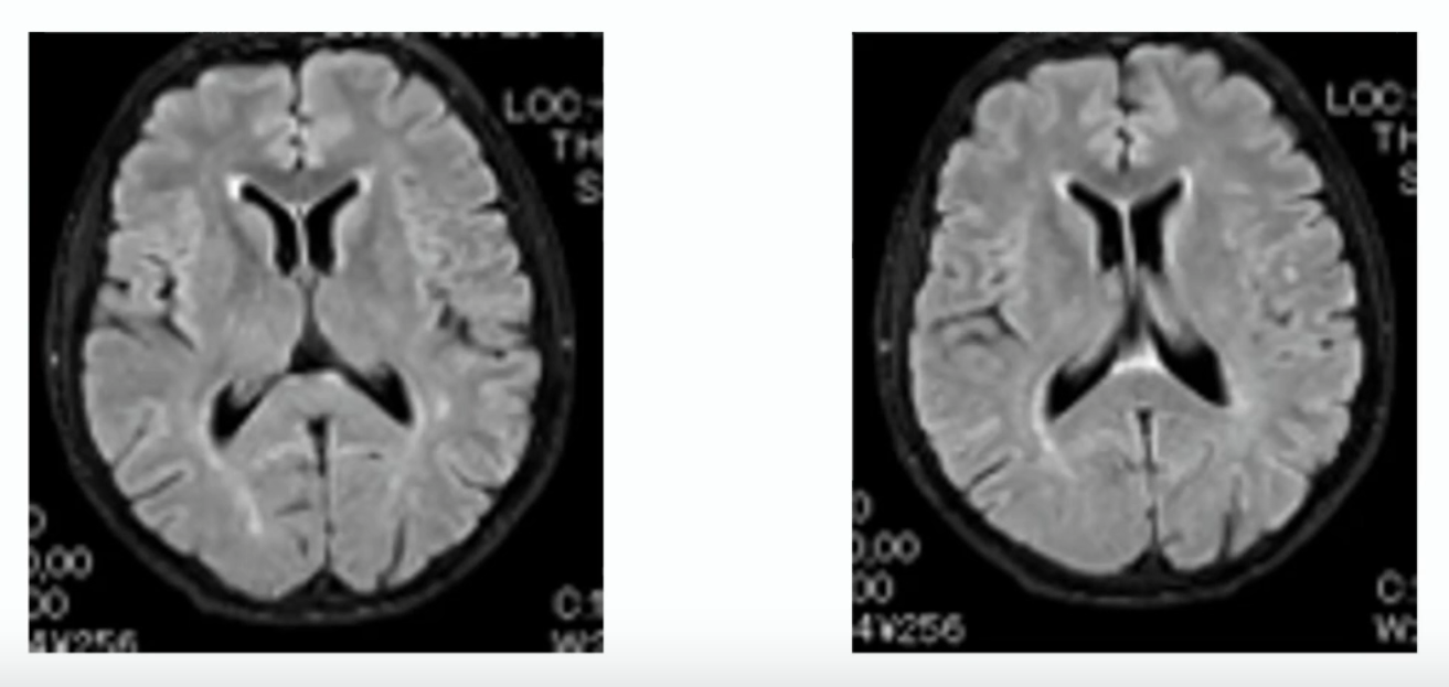
МРТ головного мозга:
диффузные изменения белого вещества (лейкоареоз) – «перивентрикулярное свечение» вокруг передних и задних рогов боковых желудочков

Учитывая данные нейровизуализации и результаты нейропсихологического тестирования, больному поставлен диагноз: хроническая ишемия головного мозга.
    Схема терапии:
  1. Рекомендована консультация терапевта (кардиолога) и эндокринолога
  2. Коррекция АД (гипертензивные средства, после консультации кардиолога)
  3. Вортиоксетин, сертралин, венлафксин – без должного эффекта (вызывают подъем АД), несовместимы без коррекции АД и гипотензивными средствами.
  4. Пантогам Актив по 2 капсулы 3 раза в день предпочтительно в утренние и дневные часы. Курс лечения - 3 месяца с положительной динамикой

Сочетание когнитивных нарушений и тревожно-депрессивных признаков обуславливает необходимость комплексного подхода к их коррекции. Традиционно для коррекции таких расстройств (как депрессивных, так и тревожных) используются антидепрессанты1,2. Однако у пациента эти препараты оказались неэффективными, вызывали подъемы АД. Необходимо коррекция АД, направлен на прием к кардиологу.


В медицинском сообществе дискутируют о необходимости использования для лечения больных с расстройствами тревожно-депрессивного спектра при наличии органического субстрата лекарственных средств, обладающих прокогнитивным действием (ноотропным и нейропротективным)1,2


К этой категории препаратов относится Пантогам актив, активным веществом которого является D-, L-гопантеновая кислота, или рац-гопантеновая кислота (смесь равных количеств D- и L-стереоизомеров гопантеновой кислоты). Установлено, что препарат взаимодействует как с ГАМК Б-рецепторами, так и за счет L-изомера влияет на Д2-дофаминовые и на небензодиазепиновые ГАМК А-рецепторы, что приводит к появлению легкого анксиолитического эффекта, который сочетается с мягким активирующим и более выраженным ноотропным, противосудорожным действиями1,2. На фоне терапии Пантогам Актив у Игоря была отмечена положительная динамика показателей когнитивного функционирования по наборам тестов, редукция симптомов депрессии и тревоги.


Сам пациент заметил клиническое улучшение – увеличилась скорость переводов и объем переводимых текстов, Игорь стал гораздо меньше уставать и отметил большую продуктивность в работе. Важно, что Пантогам актив сочетается с гипотензивной и кардиотропной терапией, тем самым повышая ее эффективность за счет улучшения психоэмоционального состояния (снижает частоту психогенных подъемов АД и улучшает контроль АД), улучшает эмоциональное состояние, снижая тревожность и раздражительность, малотоксичен при длительном введении, поэтому препарат можно назначать длительное время1,2.

    Литература
  1. А.Б. Гехт, Л.С. Канаева, А.С. Аведисова, М.П. Марачев, К.В. Захарова, Г.К. Дашкина, Е.В. Куликова. Возможности применения рац-гопантеновой кислоты в комплексном лечении тревожно-депрессивных расстройств у больных с хронической ишемией головного мозга. Журнал Неврологии и психиатрии им. С.С.Корсакова. № 11.2016.с. 45-57
  2. Смулевич Б.А,, Волель Б.А, «Применение препарата Пантогам актив (D-, L-гопантеновой кислоты) в терапии когнитивных и тревожных расстройств у пациентов с артериальной гипертонией» //ж. Неврологии и психиатрии им. С.С.Корсакова, № 12, 2015 г.