Клинический разбор в общей медицине №10 2025
Alkaptonuria is a rare metabolic disorder in the catabolic pathway of phenylalanine and tyrosine, which is characterized by excessive release of homogentisic acid in the urine, ochronosis and arthropathy of the spine and large joints. The population frequency of alkaptonuria is 1 case per 250,000 – 1,000,000 people. The autosomal recessive nature of inheritance, which often does not result in family accumulation, and the late development of clinical symptoms (after 40 years) lead to practitioners rarely encountering this pathology and not having indications of familial or congenital nature of the disease makes it difficult to make a diagnosis. It is necessary to raise awareness among healthcare professionals about the symptoms of alkaptonuria, diagnostic methods, and management of patients with this disease. In this article, we describe the case of a 59-year-old man with severe clinical manifestations of alkaptonuria.
Keywords: alkaptonuria, arthritis, dark urine, homogentisic acid, pigmentation, congenital metabolic disorders, clinical case.
For citation: Nikitin N.M., Gromova M.A., Bolotnikov M.A., Biryuk E.S. Previously undiagnosed tyrosine metabolism disorder – alkaptonuria (a clinical case). Clinical review for general practice. 2025; 6 (10): 94–100 (In Russ.). DOI: 10.47407/kr2025.6.10.00698
Введение
Алкаптонурия (АЛК; син. гомогентизиновая ацидурия) – редкое метаболическое аутосомно-рецессивное заболевание катаболического пути фенилаланина и тирозина, характеризующееся накоплением гомогентизиновой кислоты (ГГК; англ. homogentisic acid oxidase, HGA) в организме, особенно в соединительных тканях (хрящах, сухожилиях и связках) [1]. АЛК вызвана мутациями в гене гомогетизатной 1,2-диоксигеназы (homogentisate 1,2-dioxygenase, HGD), которые приводят к недостаточной активности фермента HGD [2, 3]. Кроме того, при этом заболевании избыточный уровень ГГК превращается в полимерный меланиноподобный пигмент, который связывается со всеми соединительными тканями в патофизиологическом процессе, называемом охронозом [4]. Общее количество выявленных мутаций, вызывающих АЛК, по всему миру составляет более 200 различных вариантов, актуальную информацию можно найти в базе данных мутаций, вызывающих АЛК [5].
Основные клинические проявления заболевания – темная моча, которая обычно присутствует с рождения, охроноз (сине-черная пигментация соединительных тканей) и охронотическая артропатия, поражающая крупные суставы, несущие вес тела, и позвоночник, дебютирующая после 30 лет [6]. Осложнения АЛК начинаются после 50 лет и включают образование камней (в почках, простате, желчном пузыре и слюнных железах), а также поражение сердечных клапанов, в частности аортального клапана [7]. Охроноз не влияет на продолжительность жизни пациентов, но резко снижает ее качество.
В Российской Федерации заболевание отнесено к орфанным (менее 10 случаев на 100 тыс. населения), опубликованы единичные наблюдения таких пациентов, но данных о распространенности АЛК нет [8–10].
В этой статье мы приводим пример запущенного случая АЛК с типичными проявлениями, описываем клинические, биохимические данные и результаты лучевой диагностики с целью повышения информированности специалистов здравоохранения о такой патологии.
Клиническое наблюдение
Пациент С., 1966 г.р., обратился амбулаторно на прием к ревматологу с жалобами на ноющие боли в области левого коленного сустава, усиливающиеся при нагрузке, припухание в области левого коленного сустава, ограничение движений (ходьба с тростью), «хруст», тугоподвижность в суставах и «щелканье» в пальцах кистей.
Анамнез заболевания. Со слов больного, по рассказам родных тетушек, в грудном возрасте родственники замечали темные разводы на пеленках. Старшее поколение упрекало мать больного в неумении стирать детские пеленки, хотя разводы невозможно было ничем отбелить. Моча с рождения темнела на свету. Во взрослом возрасте стали проявляться пигментация и уплотнение ушных раковин. Коллеги говорили, что «уже доработался до синих ушей и пора идти отдыхать». Цвет выделяемой ушной серы – темно-коричневый. После 30 лет стали беспокоить боли, «хруст» в крупных (коленных, тазобедренных, плечевых) суставах и поясничном отделе позвоночника, появилась скованность движений. В настоящий момент гибкость позвоночника отсутствует, при наклоне «спина двигается как единая плита». Рост снизился со 180 см (20 лет) до 173 см (59 лет). Периодически беспокоят ощущения отечности кистей, «щелканье» в пальцах. С описанными жалобами обратился на прием к терапевту, предварительно выставлен диагноз генерализованного остеоартрита, рекомендован прием нестероидных противовоспалительных препаратов (НПВП) при боли, хондропротекторов курсами 2 раза в год. Пациент направлен к ревматологу для исключения системного заболевания соединительной ткани.
Анамнез жизни. Более 20 лет страдает синдромом обструктивного апноэ сна, с марта 2024 г. – СРАР-терапия. Семейный анамнез не отягощен. Перенесенные операции: в 2016 г. – остеосинтез по поводу перелома концевой фаланги IV пальца левой кисти. Эпидемиологический анамнез не отягощен. Аллергологический анамнез: пыль, кошачья шерсть – бронхообструкция, пыльца сорных трав – ринит, конъюнктивит.
Объективный статус. Общее состояние удовлетворительное. Рост – 173 см; масса тела – 100 кг; индекс массы тела – 33,4 кг/м2 (ожирение 1-й степени). Температура тела – 36,6 °C. Множественные телеангиоэктазии на груди; признаки атопии кожи в области голеней, периферических отеков нет, пастозность лица, голеней. Ушные раковины в хрящевой части с голубым оттенком (рис. 1). Подкожная жировая клетчатка развита умеренно. Доступные для пальпации лимфатические узлы не увеличены, безболезненны, не спаяны с окружающими тканями. Дыхание через нос свободное. Границы легких не изменены. Частота дыхательных движений – 19 в минуту. Перкуторно: по всем полям легочный звук. Аускультативно: дыхание везикулярное, хрипы не выслушиваются, в том числе и при форсированном дыхании. Пальпация грудной клетки безболезненная. Сатурация кислорода – 97%. Область сердца и крупных сосудов не изменена, патологические пульсации не определяются. Тоны сердца ритмичные, звучные. Патологические шумы не определяются. Частота сердечных сокращений (ЧСС) – 88 в минуту. Артериальное давление (АД) – 130/82 мм рт. ст. Зев спокоен. Миндалины не увеличены, чистые. Язык влажный. Живот правильной формы, равномерно участвует в акте дыхания, мягкий, безболезненный во всех отделах. Печень по краю реберной дуги. Симптом Ортнера отрицательный. Симптомов раздражения брюшины нет. Пальпация области почек безболезненна. Симптом поколачивания по поясничной области отрицательный.
Локальный статус. Ходит с опорой на трость, походка с щадящей хромотой на левую ногу. Деформация оси левой конечности в коленном суставе кнутри. Гипотрофия четырехглавой мышцы слева. Кожа над коленным суставом не изменена. Пальпация суставной щели болезненная, больше по внутренней поверхности. Движения в левом коленном суставе: разгибание 175°, сгибание 90°, ограничены болью в крайних точках амплитуды, сопровождаются крепитацией. Симптомы недостаточности капсульно-связочного аппарата коленного сустава отрицательные. Кровоснабжение, иннервация в дистальных отделах конечности не нарушены. Боль по визуальной аналоговой шкале – 70 мм. Синовит левого коленного сустава. Интраартикулярный хруст в коленных суставах. Контрактура левого голеностопного сустава. Сгибательная контрактура IV пальца правой кисти. Грудной кифоз, шейный и поясничный лордоз сглажены. Пальпация остистых отростков и паравертебральных точек умеренно болезненна во всех отделах позвоночника. Длинные мышцы спины напряжены в поясничном отделе. Амплитуда движений в шейном и поясничном отделах позвоночника снижена.
Лабораторная диагностика. В анализах мочи: протеинурия – суточная экскреция белка в моче 1503 мг, белок в моче – 884,4 мг/л, бактерии, слизь – немного, эритроциты – до двух в поле зрения. В анализах крови выявлены повышенные показатели воспаления: С-реактивный белок – 7,44 мг/л, СОЭ – 23 мм/ч; дислипидемия (холестерин – 6,3 ммоль/л, липопротеины
низкой плотности – 4,56 ммоль/л), гиперурикемия (393,2 мкмоль/л).
Выполнено инструментальное обследование с применением лучевых методов диагностики.
На рентгенограммах грудного отдела позвоночника в прямой и боковой проекциях (рис. 2) травматических изменений не выявлено. Физиологический грудной кифоз сохранен. Ось отдела отклонена вправо (угол сколиоза 7° по Коббу на вершине ThVIII). Межпозвонковые пространства снижены, кортикальные пластинки тел позвонков склерозированы, утолщены, определяются зоны уплотнения от межпозвонковых пространств (кальцификация?). Тела позвонков равномерные по высоте (на высоте кифоза определяется снижение высоты тел позвонков в передних отелах, больше данных, свидетельствующих о дистрофических изменениях). По передним и боковым краям тел позвонков – краевые остеофиты. Определяются сужение суставных щелей дугоотростчатых суставов, склероз субхондральных отделов. Заключение: рентгенологическая картина дегенеративно-дистрофических изменений грудного отдела позвоночника. Спондилез. Сколиоз. Спондилоартроз. Хондрокальциноз?
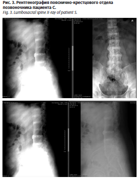
На рентгенограммах пояснично-крестцового отдела позвоночника в прямой и боковой проекциях (рис. 3) травматических изменений не выявлено. Физиологический лордоз сглажен. Ось отдела незначительно отклонена влево. Межпозвонковые пространства снижены, кортикальные пластинки тел позвонков склерозированы, утолщены, определяются зоны уплотнения от межпозвонковых пространств (кальцификация?). Тела позвонков равномерные по высоте. По передним и боковым краям тел позвонков – краевые остеофиты. Определяются сужение суставных щелей дугоотростчатых суставов, склероз субхондральных отделов. Заключение: рентгенологическая картина дегенеративно-дистрофических изменений грудного отдела позвоночника. Спондилез. Сколиоз. Спондилоартроз. Хондрокальциноз?
Рентгенография коленных суставов и кистей: на рентгенограммах правого и левого коленных суставов в прямой и боковой проекциях костных травматических и деструктивных изменений не выявлено. Рентгеновские суставные щели правого и левого коленного суставов неравномерно невыраженно сужены, более значимо со стороны медиальных мыщелков. Межмыщелковые бугорки не деформированы. Определяются умеренно выраженные краевые костные разрастания. Надколенники расположены срединно, контуры их неровные за счет умеренно выраженных краевых остеофитов, четкие. Суставные щели феморопателлярных суставов неравномерно сужены, более выраженно в правом суставе. Определяется субхондральный склероз. Достоверно костных эрозий не определяется. В проекции параартикулярных мягких тканей патологии не выявлено. На рентгенограммах костей правой и левой кистей в прямой проекции костных травматических и деструктивных изменений не выявлено. Соотношение костей в лучезапястных суставах, суставах запястья, пясти и фаланг пальцев правильное. В I пястной кости левой кисти, в том числе субхондрально, определяются просветления костной ткани (могут соответствовать кистам). Определяется выраженное неравномерное сужение суставной щели дистального межфалангового сустава IV пальца левой кости, суставная щель практически не прослеживается. Определяются субхондральный склероз, невыраженные краевые костные разрастания. Остальные визуализируемые суставные щели обеих кистей достаточно равномерные, не сужены. Определяются краевые костные заострения. В окружающих мягких тканях патологических изменений не выявлено. Достоверно костных эрозий не определяется. Заключение: коленные суставы – рентгенологическая картина артроза коленных и феморопателлярных суставов II стадии по Келлгрену–Лоуренсу; кисти – рентгенологические признаки артроза дистального межфалангового сустава IV пальца левой кисти IV стадии по Келлгрену–Лоуренсу.
Рентгенография левого голеностопного сустава: рентгенологические признаки артроза левого голеностопного сустава. Пяточная «шпора».
Рентгенография тазобедренных суставов: рентгенологические признаки артроза тазобедренных суставов II стадии по Келлгрену–Лоуренсу, артроза крестцово-подвздошных сочленений, лобкового симфиза. Сглаженность субкапитальных переходов проксимальных отделов бедренных костей с обеих сторон, может соответствовать фемороацетабулярному импиджменту по cam-типу.
Ультразвуковое исследование (УЗИ) мягких тканей левой кисти: при исследовании мягких тканей ладонной поверхности правой кисти дополнительных образований и структур не визуализируется. Обращает на себя внимание: сухожилие сгибателя IV пальца неравномерной толщины, от 4,4 до 6,5 мм, несколько неоднородной структуры, на уровне ладони по контуру сухожиля (вероятно, в сухожильном влагалище) визуализируется небольшая анэхогенная зона размером 2×4 мм, при цветном допплеровском картировании – аваскулярная (зона отека). Заключение: эхографические признаки утолщения сухожилия сгибателя IV пальца правой кисти, теносиновита сухожилия IV пальца правой руки.
УЗИ коленного сустава: синовиальная оболочка до
4 мм, достаточно васкуляризирована. Надколенник несколько неровный. Собственная связка деформирована выраженным выпотом 35×15 мм. Боковая латеральная связка утолщена, лоцируется неоднородный выпот 22×6 мм. Боковая медиальная связка утолщена, лоцируется неоднородный линейный выпот. Общий объем жидкости не менее 10 мл. Эхографические признаки теносиновита.
Магнитно-резонансная томография (МРТ): МРТ-картина артроза левого коленного сустава 3-й степени, комбинированного повреждения медиального мениска (Stoller 3b), застарелое повреждение латерального мениска, хондромаляция надколенника 4-й степени, медиального мыщелка бедренной кости 4-й степени, дегенеративно-дистрофические изменения передней крестообразной связки, тендинит сухожилия четырехглавой мышцы, выпот в полости сустава, отек мягких тканей.
Консультирован травматологом-ортопедом, диагноз: застарелый разрыв сухожилия передней большеберцовой мышцы левой голени. Контрактура левого голеностопного сустава. Полиостеоартроз. Посттравматический артроз дистального межфалангового сустава IV пальца левой кисти 3-й степени. Стенозирующий лигаментит IV пальца правой кисти. Левосторонний медиальный гонартроз 3-й степени, рекомендовано одномыщелковое эндопротезирование левого коленного сустава.
Проведена операция – эндопротезирование левого коленного сустава с установкой одномыщелкового эндопротеза (рис. 4).
Эхокардиография (ЭхоКГ): уплотнение аорты, кольца и створок aopтального клапана.
УЗИ брахиоцефальных артерий: эхографические признаки начальных атеросклеротических изменений брахиоцефальных артерий на экстракраниальном уровне (локальное утолщение стенки в устье правой подключичной артерии, в бифуркации обеих общих сонных артерий).
УЗИ почек: эхографические признаки конкремента левой почки.
Консультирован урологом. В анамнезе самостоятельное выделение конкремента с мочой. Простатический специфический антиген (ПСА) свободный – норма, ПCA общий – норма, соотношение ПСА свободный / ПCA общий – 29,7% (норма – 15,0–70,0). Установлен диагноз: мочекаменная болезнь, доброкачественная гиперплазия предстательной железы, хронический простатит, стадия ремиссии.
Консультирован нефрологом в Клинике ревматологии, нефрологии и профпатологии им. Е.М. Тареева, был впервые госпитализирован в нефрологическое отделение в связи с нарастанием в анализах протеинурии до субнефротического уровня (1,5 г/л) для уточнения характера поражения почек. По совокупности жалоб, анамнестических данных, объективного исследования, рентгенологических данных наиболее вероятным диагнозом является АЛК (охроноз). Для верификации диагноза выполнено исследование мочи с определением уровня ГГК. При обследовании в клинике: функция почек сохранена, мочевой осадок представлен следовой протеинурией, гематурии нет, данных, свидетельствующих о гломерулярной патологии, не выявлено. Наиболее вероятным представляется диагноз: хронический тубулоинтерстициальный нефрит смешанного генеза, лекарственный (НПВП-ассоциированный), в сочетании с метаболическими нарушениями – гиперурикемия, алкаптонурия.
Выполнен анализ мочи на органические кислоты методом газовой хроматографии с масс-спектрометрией: ГГК – 1027,47 мМ/М CRE (референсные значения
<10 мМ/М CRE).
Выявление ГГК в моче в сочетании с характерной триадой (гомогентизинурия, охроноз, остеоартропатия) делает диагноз АЛК достоверным.
Консультирован генетиком ФГБНУ «Медико-генетический научный центр им. акад. Н.П. Бочкова», диагноз: алкаптонурия (oxpоноз) с поражением осевого скелета (межпозвонковых дисков), суставов (вторичный генерализованный остеоартроз с преимущественным поражением тазобедренных, коленных суставов и мелких суставов кистей), сухожилий (тендинопатии, осложненные спонтанными разрывами; застарелый разрыв сухожилия передней большеберцовой мышцы левой голени; контрактура левого голеностопного сустава; посттравматический артроз дистального межфалангового сустава IV пальца левой кисти 3-й степени; стенозирующий лигаментит IV пальца правой кисти), xpящей ушных раковин. Xpоническая болезнь почек С2А2 (расчетная скорость клубочковой фильтрации – 63,86 мл/мин/1,73 м2). Хронический тубулоинтерстициальный нефрит смешанного генеза [в рамках нарушения обмена тирозина – алкаптонурия (охроноз), гиперурикемии в сочетании с НПВП-ассоциированным повреждением]. Мочекаменная болезнь.
В лаборатории наследственных болезней обмена веществ ФГБНУ «Медико-генетический научный центр им. акад. Н.П. Бочкова» в настоящий момент проводится полный анализ гена HGD для выявления варианта мутации при АЛК.
Обсуждение
В этой статье мы рассказали о нашем опыте работы с пациентом, у которого был запущенный случай АЛК, ранее не диагностированной. Поскольку диагноз был поставлен в относительно позднем возрасте (59 лет), основные характерные признаки заболевания, такие как поражение позвоночника, тазобедренных и коленных суставов, а также типичные рентгенологические признаки уже присутствовали.
Охронотическая спондилоартропатия является наиболее распространенным осложнением повреждения почек. Это происходит из-за отложения охронотического пигмента в межпозвонковых дисках и суставных хрящах крупных суставов [11]. Поражение позвоночника при АЛК следует дифференцировать с анкилозирующим спондилитом и первичным деформирующим спондилезом.
Охронотическая спондилоартропатия похожа на анкилозирующий спондилит по степени поражения позвоночника и крупных суставов, однако она отличается тем, что не затрагивает крестцово-подвздошные сочленения и не сопровождается кольцевидной оссификацией, синдесмозом или «бамбукообразным» позвоночником, которые характерны для анкилозирующего спондилита [12, 13]. От деформирующего спондилеза заболевание отличается склонностью к анкилозированию позвоночника, кальцификацией межпозвонковых дисков, поражением симфиза. Изменения в позвоночнике, возникающие при повреждении почек, включают сильную кальцификацию межпозвонковых дисков, сужение межпозвонковых промежутков и склероз, в первую очередь в грудопоясничном отделе позвоночника, а не в пояснично-крестцовом [14]. Кальцификация межпозвонковых дисков выражена на периферии и, как правило, не затрагивает центральное пульпозное ядро с его пластинчатой структурой [15]. Поражение крупных периферических суставов обычно происходит спустя годы после поражения позвоночника, а мелкие суставы кистей и стоп, лучезапястные, локтевые и голеностопные суставы поражаются редко. Чаще всего в процесс вовлекаются коленные и тазобедренные суставы, и при остром повреждении почек в этих суставах часто наблюдается быстрое ухудшение состояния [16]. Клинические и лабораторные признаки воспалительного процесса у больных отсутствуют.
Эффективного лечения АЛК не существует. То, что предлагается в настоящее время, носит в основном поддерживающий характер и включает генетическое консультирование, обезболивание НПВП, физиотерапию, лечебную физкультуру. В литературе сообщалось, что следует избегать продуктов с высоким содержанием фенилаланина и тирозина [17, 18]. В нескольких исследованиях также было высказано предположение, что может быть полезен витамин C, поскольку он препятствует окислению ГГК, тем самым предотвращая отложение охронотических пигментов [19]. Однако ни одно клиническое исследование не показало долгосрочную эффективность этих методов. В качестве потенциального средства для лечения тирозинемии применяется нитизинон. Экскреция ГГК с мочой при его применении заметно снижается, но долгосрочная клиническая эффективность и безопасность этого препарата также не были доказаны [20]. Рассматривается возможность применения N-ацетилцистеина как вещества, влияющего на антиоксидантные биомолекулы. В тяжелых случаях, с целью уменьшения болевого синдрома, требуется хирургическое вмешательство для замены разрушенных суставов. Результаты эндопротезирования крупных суставов у пациентов с алкаптонурическим охронозом сравнимы с результатами при остеоартрозах, не связанных с АЛК [21, 22].
Пациенту С. были даны рекомендации:
1. Избегать необоснованного приема лекарственных средств, ограничить прием нефротоксичных лекарственных препаратов (курсовой прием HПBП, нефротоксичные антибиотики, рентгеноконтрастные препараты).
2. Избегать переохлаждений, контактов с инфекционными больными. Своевременно лечить инфекционные заболевания.
3. Соблюдать адекватный водный режим (не менее 1,5 л в сутки равномерно в течение дня) под контролем суточного диуреза, массы тела.
4. Соблюдение диеты и медикаментозная терапия:
• диета с ограничением продуктов, богатых тирозином и фенилаланином;
• прием заменителей белка (аминокислотных cмeсей без содержания тирозина и фенилаланина) при развитии белковой недостаточности;
• ограничение соли до 5 г/сут. Исключить соленья, полуфабрикаты, колбасные изделия. Готовить без соли, готовые блюда не досаливать; при непереносимости строгой бессолевой диеты допускается немного подсолить готовые блюда. При отсутствии противопоказаний со стороны системы пищеварения можно использовать специи, пряности, чтобы пища не казалась пресной;
• витамин С (аскорбиновая кислота) по 100 мг утром и вечером;
• для купирования болей в суставах предпочтительно использовать парацетамол в таблетках по 500 мг в режиме «по требованию», не превышая максимальной допустимой суточной дозы в 2000 мг (4 таблетки);
• периндоприл 4 мг 1 раз в день под контролем АД;
• бисопролол 5 мг 1 раз в день под контролем ЧСС;
• тамсулозин 0,4 мг 1 раз в день;
• фебуксостат 40 мг 1 раз в день;
• выполнение ЭхоКГ не реже 1 раза в 12 мес;
• контроль общего белка и альбумина крови 1 раз в месяц;
• в качестве дополнительной терапии может обсуждаться назначение нитизинона по 5–10 мг/сут при прогрессировании заболевания.
Заключение
Приведенный нами клинический пример полностью соответствует данным литературы. У пациента с АЛК выявлены наличие ГГК в моче, охроноз ушных раковин, охронотическое поражение крупных суставов и позвоночника, которое было причиной развития торпидного болевого синдрома, ставшего показанием к проведению оперативного лечения. Интраоперационные изменения в левом коленном суставе также подтвердили диагноз.

Врачи, занимающиеся лечением пациентов с заболеваниями опорно-двигательного аппарата, должны знать об этом редком генетическом заболевании, особенно если дегенеративная артропатия прогрессирует гораздо быстрее, чем можно было бы ожидать в возрасте пациента. Практикующим врачам важно иметь настороженность в отношении данной патологии. Необходимо повышать информированность специалистов здравоохранения о методах диагностики, профилактики и особенностях ведения пациентов с данными состояниями.
Конфликт интересов. Авторы заявляют об отсутствии конфликта интересов.
Conflict of interests. The authors declare that there is not conflict of interests.
Финансирование. Исследование выполнено без спонсорской поддержки.
Acknowledgements. The study had no sponsorship.
Информация об авторах
Information about the authors
Никитин Никита Михайлович – студент, Институт клинической медицины им. Н.В. Склифосовского ФГАОУ ВО «Первый МГМУ им. И.М. Сеченова» (Сеченовский Университет). E-mail: nik-nikitin2003@mail.ru; ORCID: 0009-0001-7495-6422
Nikita M. Nikitin – Student, N.V. Sklifosovsky Institute of Clinical Medicine, Sechenov First Moscow State Medical University (Sechenov University). E-mail: nik-nikitin2003@mail.ru; ORCID: 0009-0001-7495-6422
Громова Маргарита Александровна – канд. мед. наук, доц. каф. факультетской терапии Института клинической медицины ФГАОУ ВО «РНИМУ им. Н.И. Пирогова», врач-ревматолог, АО «К+31 Запад». E-mail: margarita-gromov@mail.ru; ORCID: 0000-0002-3757-058X
Margarita A. Gromova – Cand. Sci. (Med.), Assoc. Prof., Pirogov Russian National Research Medical University, rheumatologist, JSC “K+31 West”. E-mail: margarita-gromov@mail.ru; ORCID: 0000-0002-3757-058X
Болотников Михаил Артурович – зав. отд-нием травматологии и ортопедии, ООО «Клиника Будь Здоров». E-mail: dr.bolotnikov@gmail.com; ORCID: 0009-0006-3002-7521
Mikhail A. Bolotnikov – Head of the Traumatology and Orthopedics Department, Klinika Bud’ Zdorov, LLC. E-mail: dr.bolotnikov@gmail.com; ORCID: 0009-0006-3002-7521
Бирюк Екатерина Сергеевна – врач-ревматолог, врач-терапевт, врач ультразвуковой диагностики суставно-мышечной системы, АО «К+31 Запад». E-mail: ekaterina.biryuk@mail.ru;
ORCID: 0009-0004-1117-4433
Ekaterina S. Biryuk – rheumatologist, therapist, functional diagnostics doctor, JSC “K+31 West”. E-mail: ekaterina.biryuk@mail.ru; ORCID: 0009-0004-1117-4433
Поступила в редакцию: 17.05.2025
Поступила после рецензирования: 23.05.2025
Принята к публикации: 29.05.2025
Received: 17.05.2025
Revised: 23.05.2025
Accepted: 29.05.2025
Клинический разбор в общей медицине №10 2025
Ранее не диагностированное нарушение обмена тирозина – алкаптонурия (клинический случай)
Номера страниц в выпуске:94-100
Аннотация
Алкаптонурия (АЛК) – это редкое нарушение обмена веществ в катаболическом пути фенилаланина и тирозина, которое характеризуется избыточным выделением гомогентизиновой кислоты с мочой, охронозом и артропатией позвоночника и крупных суставов. Популяционная частота АЛК – 1 случай на 250 тыс. – 1 млн человек. Аутосомно-рецессивный характер наследования, который часто не дает семейного накопления, позднее развитие клинической симптоматики (после 40 лет) приводят к тому, что практические врачи, редко встречаясь с указанной патологией и не имея указаний на семейный или врожденный характер заболевания, затрудняются в постановке диагноза. Необходимо повышать информированность специалистов здравоохранения о симптомах АЛК, методах диагностики и особенностях ведения пациентов с данным заболеванием. В этой статье мы описываем случай 59-летнего мужчины с выраженными клиническими проявлениями АЛК.
Ключевые слова: алкаптонурия, артрит, темная моча, гомогентизиновая кислота, пигментация, врожденные нарушения метаболизма, клинический случай.
Для цитирования: Никитин Н.М., Громова М.А., Болотников М.А., Бирюк Е.С. Ранее не диагностированное нарушение обмена тирозина – алкаптонурия (клинический случай). Клинический разбор в общей медицине. 2025; 6 (10): 94–100. DOI: 10.47407/kr2025.6.10.00698
Алкаптонурия (АЛК) – это редкое нарушение обмена веществ в катаболическом пути фенилаланина и тирозина, которое характеризуется избыточным выделением гомогентизиновой кислоты с мочой, охронозом и артропатией позвоночника и крупных суставов. Популяционная частота АЛК – 1 случай на 250 тыс. – 1 млн человек. Аутосомно-рецессивный характер наследования, который часто не дает семейного накопления, позднее развитие клинической симптоматики (после 40 лет) приводят к тому, что практические врачи, редко встречаясь с указанной патологией и не имея указаний на семейный или врожденный характер заболевания, затрудняются в постановке диагноза. Необходимо повышать информированность специалистов здравоохранения о симптомах АЛК, методах диагностики и особенностях ведения пациентов с данным заболеванием. В этой статье мы описываем случай 59-летнего мужчины с выраженными клиническими проявлениями АЛК.
Ключевые слова: алкаптонурия, артрит, темная моча, гомогентизиновая кислота, пигментация, врожденные нарушения метаболизма, клинический случай.
Для цитирования: Никитин Н.М., Громова М.А., Болотников М.А., Бирюк Е.С. Ранее не диагностированное нарушение обмена тирозина – алкаптонурия (клинический случай). Клинический разбор в общей медицине. 2025; 6 (10): 94–100. DOI: 10.47407/kr2025.6.10.00698
Previously undiagnosed tyrosine metabolism disorder – alkaptonuria (a clinical case)
АbstractAlkaptonuria is a rare metabolic disorder in the catabolic pathway of phenylalanine and tyrosine, which is characterized by excessive release of homogentisic acid in the urine, ochronosis and arthropathy of the spine and large joints. The population frequency of alkaptonuria is 1 case per 250,000 – 1,000,000 people. The autosomal recessive nature of inheritance, which often does not result in family accumulation, and the late development of clinical symptoms (after 40 years) lead to practitioners rarely encountering this pathology and not having indications of familial or congenital nature of the disease makes it difficult to make a diagnosis. It is necessary to raise awareness among healthcare professionals about the symptoms of alkaptonuria, diagnostic methods, and management of patients with this disease. In this article, we describe the case of a 59-year-old man with severe clinical manifestations of alkaptonuria.
Keywords: alkaptonuria, arthritis, dark urine, homogentisic acid, pigmentation, congenital metabolic disorders, clinical case.
For citation: Nikitin N.M., Gromova M.A., Bolotnikov M.A., Biryuk E.S. Previously undiagnosed tyrosine metabolism disorder – alkaptonuria (a clinical case). Clinical review for general practice. 2025; 6 (10): 94–100 (In Russ.). DOI: 10.47407/kr2025.6.10.00698
Введение
Алкаптонурия (АЛК; син. гомогентизиновая ацидурия) – редкое метаболическое аутосомно-рецессивное заболевание катаболического пути фенилаланина и тирозина, характеризующееся накоплением гомогентизиновой кислоты (ГГК; англ. homogentisic acid oxidase, HGA) в организме, особенно в соединительных тканях (хрящах, сухожилиях и связках) [1]. АЛК вызвана мутациями в гене гомогетизатной 1,2-диоксигеназы (homogentisate 1,2-dioxygenase, HGD), которые приводят к недостаточной активности фермента HGD [2, 3]. Кроме того, при этом заболевании избыточный уровень ГГК превращается в полимерный меланиноподобный пигмент, который связывается со всеми соединительными тканями в патофизиологическом процессе, называемом охронозом [4]. Общее количество выявленных мутаций, вызывающих АЛК, по всему миру составляет более 200 различных вариантов, актуальную информацию можно найти в базе данных мутаций, вызывающих АЛК [5].
Основные клинические проявления заболевания – темная моча, которая обычно присутствует с рождения, охроноз (сине-черная пигментация соединительных тканей) и охронотическая артропатия, поражающая крупные суставы, несущие вес тела, и позвоночник, дебютирующая после 30 лет [6]. Осложнения АЛК начинаются после 50 лет и включают образование камней (в почках, простате, желчном пузыре и слюнных железах), а также поражение сердечных клапанов, в частности аортального клапана [7]. Охроноз не влияет на продолжительность жизни пациентов, но резко снижает ее качество.
В Российской Федерации заболевание отнесено к орфанным (менее 10 случаев на 100 тыс. населения), опубликованы единичные наблюдения таких пациентов, но данных о распространенности АЛК нет [8–10].
В этой статье мы приводим пример запущенного случая АЛК с типичными проявлениями, описываем клинические, биохимические данные и результаты лучевой диагностики с целью повышения информированности специалистов здравоохранения о такой патологии.
Клиническое наблюдение
Пациент С., 1966 г.р., обратился амбулаторно на прием к ревматологу с жалобами на ноющие боли в области левого коленного сустава, усиливающиеся при нагрузке, припухание в области левого коленного сустава, ограничение движений (ходьба с тростью), «хруст», тугоподвижность в суставах и «щелканье» в пальцах кистей.
Анамнез заболевания. Со слов больного, по рассказам родных тетушек, в грудном возрасте родственники замечали темные разводы на пеленках. Старшее поколение упрекало мать больного в неумении стирать детские пеленки, хотя разводы невозможно было ничем отбелить. Моча с рождения темнела на свету. Во взрослом возрасте стали проявляться пигментация и уплотнение ушных раковин. Коллеги говорили, что «уже доработался до синих ушей и пора идти отдыхать». Цвет выделяемой ушной серы – темно-коричневый. После 30 лет стали беспокоить боли, «хруст» в крупных (коленных, тазобедренных, плечевых) суставах и поясничном отделе позвоночника, появилась скованность движений. В настоящий момент гибкость позвоночника отсутствует, при наклоне «спина двигается как единая плита». Рост снизился со 180 см (20 лет) до 173 см (59 лет). Периодически беспокоят ощущения отечности кистей, «щелканье» в пальцах. С описанными жалобами обратился на прием к терапевту, предварительно выставлен диагноз генерализованного остеоартрита, рекомендован прием нестероидных противовоспалительных препаратов (НПВП) при боли, хондропротекторов курсами 2 раза в год. Пациент направлен к ревматологу для исключения системного заболевания соединительной ткани.
Анамнез жизни. Более 20 лет страдает синдромом обструктивного апноэ сна, с марта 2024 г. – СРАР-терапия. Семейный анамнез не отягощен. Перенесенные операции: в 2016 г. – остеосинтез по поводу перелома концевой фаланги IV пальца левой кисти. Эпидемиологический анамнез не отягощен. Аллергологический анамнез: пыль, кошачья шерсть – бронхообструкция, пыльца сорных трав – ринит, конъюнктивит.Объективный статус. Общее состояние удовлетворительное. Рост – 173 см; масса тела – 100 кг; индекс массы тела – 33,4 кг/м2 (ожирение 1-й степени). Температура тела – 36,6 °C. Множественные телеангиоэктазии на груди; признаки атопии кожи в области голеней, периферических отеков нет, пастозность лица, голеней. Ушные раковины в хрящевой части с голубым оттенком (рис. 1). Подкожная жировая клетчатка развита умеренно. Доступные для пальпации лимфатические узлы не увеличены, безболезненны, не спаяны с окружающими тканями. Дыхание через нос свободное. Границы легких не изменены. Частота дыхательных движений – 19 в минуту. Перкуторно: по всем полям легочный звук. Аускультативно: дыхание везикулярное, хрипы не выслушиваются, в том числе и при форсированном дыхании. Пальпация грудной клетки безболезненная. Сатурация кислорода – 97%. Область сердца и крупных сосудов не изменена, патологические пульсации не определяются. Тоны сердца ритмичные, звучные. Патологические шумы не определяются. Частота сердечных сокращений (ЧСС) – 88 в минуту. Артериальное давление (АД) – 130/82 мм рт. ст. Зев спокоен. Миндалины не увеличены, чистые. Язык влажный. Живот правильной формы, равномерно участвует в акте дыхания, мягкий, безболезненный во всех отделах. Печень по краю реберной дуги. Симптом Ортнера отрицательный. Симптомов раздражения брюшины нет. Пальпация области почек безболезненна. Симптом поколачивания по поясничной области отрицательный.
Локальный статус. Ходит с опорой на трость, походка с щадящей хромотой на левую ногу. Деформация оси левой конечности в коленном суставе кнутри. Гипотрофия четырехглавой мышцы слева. Кожа над коленным суставом не изменена. Пальпация суставной щели болезненная, больше по внутренней поверхности. Движения в левом коленном суставе: разгибание 175°, сгибание 90°, ограничены болью в крайних точках амплитуды, сопровождаются крепитацией. Симптомы недостаточности капсульно-связочного аппарата коленного сустава отрицательные. Кровоснабжение, иннервация в дистальных отделах конечности не нарушены. Боль по визуальной аналоговой шкале – 70 мм. Синовит левого коленного сустава. Интраартикулярный хруст в коленных суставах. Контрактура левого голеностопного сустава. Сгибательная контрактура IV пальца правой кисти. Грудной кифоз, шейный и поясничный лордоз сглажены. Пальпация остистых отростков и паравертебральных точек умеренно болезненна во всех отделах позвоночника. Длинные мышцы спины напряжены в поясничном отделе. Амплитуда движений в шейном и поясничном отделах позвоночника снижена.Лабораторная диагностика. В анализах мочи: протеинурия – суточная экскреция белка в моче 1503 мг, белок в моче – 884,4 мг/л, бактерии, слизь – немного, эритроциты – до двух в поле зрения. В анализах крови выявлены повышенные показатели воспаления: С-реактивный белок – 7,44 мг/л, СОЭ – 23 мм/ч; дислипидемия (холестерин – 6,3 ммоль/л, липопротеины
низкой плотности – 4,56 ммоль/л), гиперурикемия (393,2 мкмоль/л).
Выполнено инструментальное обследование с применением лучевых методов диагностики.
На рентгенограммах грудного отдела позвоночника в прямой и боковой проекциях (рис. 2) травматических изменений не выявлено. Физиологический грудной кифоз сохранен. Ось отдела отклонена вправо (угол сколиоза 7° по Коббу на вершине ThVIII). Межпозвонковые пространства снижены, кортикальные пластинки тел позвонков склерозированы, утолщены, определяются зоны уплотнения от межпозвонковых пространств (кальцификация?). Тела позвонков равномерные по высоте (на высоте кифоза определяется снижение высоты тел позвонков в передних отелах, больше данных, свидетельствующих о дистрофических изменениях). По передним и боковым краям тел позвонков – краевые остеофиты. Определяются сужение суставных щелей дугоотростчатых суставов, склероз субхондральных отделов. Заключение: рентгенологическая картина дегенеративно-дистрофических изменений грудного отдела позвоночника. Спондилез. Сколиоз. Спондилоартроз. Хондрокальциноз?На рентгенограммах пояснично-крестцового отдела позвоночника в прямой и боковой проекциях (рис. 3) травматических изменений не выявлено. Физиологический лордоз сглажен. Ось отдела незначительно отклонена влево. Межпозвонковые пространства снижены, кортикальные пластинки тел позвонков склерозированы, утолщены, определяются зоны уплотнения от межпозвонковых пространств (кальцификация?). Тела позвонков равномерные по высоте. По передним и боковым краям тел позвонков – краевые остеофиты. Определяются сужение суставных щелей дугоотростчатых суставов, склероз субхондральных отделов. Заключение: рентгенологическая картина дегенеративно-дистрофических изменений грудного отдела позвоночника. Спондилез. Сколиоз. Спондилоартроз. Хондрокальциноз?
Рентгенография коленных суставов и кистей: на рентгенограммах правого и левого коленных суставов в прямой и боковой проекциях костных травматических и деструктивных изменений не выявлено. Рентгеновские суставные щели правого и левого коленного суставов неравномерно невыраженно сужены, более значимо со стороны медиальных мыщелков. Межмыщелковые бугорки не деформированы. Определяются умеренно выраженные краевые костные разрастания. Надколенники расположены срединно, контуры их неровные за счет умеренно выраженных краевых остеофитов, четкие. Суставные щели феморопателлярных суставов неравномерно сужены, более выраженно в правом суставе. Определяется субхондральный склероз. Достоверно костных эрозий не определяется. В проекции параартикулярных мягких тканей патологии не выявлено. На рентгенограммах костей правой и левой кистей в прямой проекции костных травматических и деструктивных изменений не выявлено. Соотношение костей в лучезапястных суставах, суставах запястья, пясти и фаланг пальцев правильное. В I пястной кости левой кисти, в том числе субхондрально, определяются просветления костной ткани (могут соответствовать кистам). Определяется выраженное неравномерное сужение суставной щели дистального межфалангового сустава IV пальца левой кости, суставная щель практически не прослеживается. Определяются субхондральный склероз, невыраженные краевые костные разрастания. Остальные визуализируемые суставные щели обеих кистей достаточно равномерные, не сужены. Определяются краевые костные заострения. В окружающих мягких тканях патологических изменений не выявлено. Достоверно костных эрозий не определяется. Заключение: коленные суставы – рентгенологическая картина артроза коленных и феморопателлярных суставов II стадии по Келлгрену–Лоуренсу; кисти – рентгенологические признаки артроза дистального межфалангового сустава IV пальца левой кисти IV стадии по Келлгрену–Лоуренсу.
Рентгенография левого голеностопного сустава: рентгенологические признаки артроза левого голеностопного сустава. Пяточная «шпора».
Рентгенография тазобедренных суставов: рентгенологические признаки артроза тазобедренных суставов II стадии по Келлгрену–Лоуренсу, артроза крестцово-подвздошных сочленений, лобкового симфиза. Сглаженность субкапитальных переходов проксимальных отделов бедренных костей с обеих сторон, может соответствовать фемороацетабулярному импиджменту по cam-типу.
Ультразвуковое исследование (УЗИ) мягких тканей левой кисти: при исследовании мягких тканей ладонной поверхности правой кисти дополнительных образований и структур не визуализируется. Обращает на себя внимание: сухожилие сгибателя IV пальца неравномерной толщины, от 4,4 до 6,5 мм, несколько неоднородной структуры, на уровне ладони по контуру сухожиля (вероятно, в сухожильном влагалище) визуализируется небольшая анэхогенная зона размером 2×4 мм, при цветном допплеровском картировании – аваскулярная (зона отека). Заключение: эхографические признаки утолщения сухожилия сгибателя IV пальца правой кисти, теносиновита сухожилия IV пальца правой руки.
УЗИ коленного сустава: синовиальная оболочка до
4 мм, достаточно васкуляризирована. Надколенник несколько неровный. Собственная связка деформирована выраженным выпотом 35×15 мм. Боковая латеральная связка утолщена, лоцируется неоднородный выпот 22×6 мм. Боковая медиальная связка утолщена, лоцируется неоднородный линейный выпот. Общий объем жидкости не менее 10 мл. Эхографические признаки теносиновита.
Магнитно-резонансная томография (МРТ): МРТ-картина артроза левого коленного сустава 3-й степени, комбинированного повреждения медиального мениска (Stoller 3b), застарелое повреждение латерального мениска, хондромаляция надколенника 4-й степени, медиального мыщелка бедренной кости 4-й степени, дегенеративно-дистрофические изменения передней крестообразной связки, тендинит сухожилия четырехглавой мышцы, выпот в полости сустава, отек мягких тканей.
Консультирован травматологом-ортопедом, диагноз: застарелый разрыв сухожилия передней большеберцовой мышцы левой голени. Контрактура левого голеностопного сустава. Полиостеоартроз. Посттравматический артроз дистального межфалангового сустава IV пальца левой кисти 3-й степени. Стенозирующий лигаментит IV пальца правой кисти. Левосторонний медиальный гонартроз 3-й степени, рекомендовано одномыщелковое эндопротезирование левого коленного сустава.
Проведена операция – эндопротезирование левого коленного сустава с установкой одномыщелкового эндопротеза (рис. 4).
Эхокардиография (ЭхоКГ): уплотнение аорты, кольца и створок aopтального клапана.
УЗИ брахиоцефальных артерий: эхографические признаки начальных атеросклеротических изменений брахиоцефальных артерий на экстракраниальном уровне (локальное утолщение стенки в устье правой подключичной артерии, в бифуркации обеих общих сонных артерий).
УЗИ почек: эхографические признаки конкремента левой почки.
Консультирован урологом. В анамнезе самостоятельное выделение конкремента с мочой. Простатический специфический антиген (ПСА) свободный – норма, ПCA общий – норма, соотношение ПСА свободный / ПCA общий – 29,7% (норма – 15,0–70,0). Установлен диагноз: мочекаменная болезнь, доброкачественная гиперплазия предстательной железы, хронический простатит, стадия ремиссии.
Консультирован нефрологом в Клинике ревматологии, нефрологии и профпатологии им. Е.М. Тареева, был впервые госпитализирован в нефрологическое отделение в связи с нарастанием в анализах протеинурии до субнефротического уровня (1,5 г/л) для уточнения характера поражения почек. По совокупности жалоб, анамнестических данных, объективного исследования, рентгенологических данных наиболее вероятным диагнозом является АЛК (охроноз). Для верификации диагноза выполнено исследование мочи с определением уровня ГГК. При обследовании в клинике: функция почек сохранена, мочевой осадок представлен следовой протеинурией, гематурии нет, данных, свидетельствующих о гломерулярной патологии, не выявлено. Наиболее вероятным представляется диагноз: хронический тубулоинтерстициальный нефрит смешанного генеза, лекарственный (НПВП-ассоциированный), в сочетании с метаболическими нарушениями – гиперурикемия, алкаптонурия.
Выполнен анализ мочи на органические кислоты методом газовой хроматографии с масс-спектрометрией: ГГК – 1027,47 мМ/М CRE (референсные значения
<10 мМ/М CRE).
Выявление ГГК в моче в сочетании с характерной триадой (гомогентизинурия, охроноз, остеоартропатия) делает диагноз АЛК достоверным.
Консультирован генетиком ФГБНУ «Медико-генетический научный центр им. акад. Н.П. Бочкова», диагноз: алкаптонурия (oxpоноз) с поражением осевого скелета (межпозвонковых дисков), суставов (вторичный генерализованный остеоартроз с преимущественным поражением тазобедренных, коленных суставов и мелких суставов кистей), сухожилий (тендинопатии, осложненные спонтанными разрывами; застарелый разрыв сухожилия передней большеберцовой мышцы левой голени; контрактура левого голеностопного сустава; посттравматический артроз дистального межфалангового сустава IV пальца левой кисти 3-й степени; стенозирующий лигаментит IV пальца правой кисти), xpящей ушных раковин. Xpоническая болезнь почек С2А2 (расчетная скорость клубочковой фильтрации – 63,86 мл/мин/1,73 м2). Хронический тубулоинтерстициальный нефрит смешанного генеза [в рамках нарушения обмена тирозина – алкаптонурия (охроноз), гиперурикемии в сочетании с НПВП-ассоциированным повреждением]. Мочекаменная болезнь.
В лаборатории наследственных болезней обмена веществ ФГБНУ «Медико-генетический научный центр им. акад. Н.П. Бочкова» в настоящий момент проводится полный анализ гена HGD для выявления варианта мутации при АЛК.
Обсуждение
В этой статье мы рассказали о нашем опыте работы с пациентом, у которого был запущенный случай АЛК, ранее не диагностированной. Поскольку диагноз был поставлен в относительно позднем возрасте (59 лет), основные характерные признаки заболевания, такие как поражение позвоночника, тазобедренных и коленных суставов, а также типичные рентгенологические признаки уже присутствовали.
Охронотическая спондилоартропатия является наиболее распространенным осложнением повреждения почек. Это происходит из-за отложения охронотического пигмента в межпозвонковых дисках и суставных хрящах крупных суставов [11]. Поражение позвоночника при АЛК следует дифференцировать с анкилозирующим спондилитом и первичным деформирующим спондилезом.
Охронотическая спондилоартропатия похожа на анкилозирующий спондилит по степени поражения позвоночника и крупных суставов, однако она отличается тем, что не затрагивает крестцово-подвздошные сочленения и не сопровождается кольцевидной оссификацией, синдесмозом или «бамбукообразным» позвоночником, которые характерны для анкилозирующего спондилита [12, 13]. От деформирующего спондилеза заболевание отличается склонностью к анкилозированию позвоночника, кальцификацией межпозвонковых дисков, поражением симфиза. Изменения в позвоночнике, возникающие при повреждении почек, включают сильную кальцификацию межпозвонковых дисков, сужение межпозвонковых промежутков и склероз, в первую очередь в грудопоясничном отделе позвоночника, а не в пояснично-крестцовом [14]. Кальцификация межпозвонковых дисков выражена на периферии и, как правило, не затрагивает центральное пульпозное ядро с его пластинчатой структурой [15]. Поражение крупных периферических суставов обычно происходит спустя годы после поражения позвоночника, а мелкие суставы кистей и стоп, лучезапястные, локтевые и голеностопные суставы поражаются редко. Чаще всего в процесс вовлекаются коленные и тазобедренные суставы, и при остром повреждении почек в этих суставах часто наблюдается быстрое ухудшение состояния [16]. Клинические и лабораторные признаки воспалительного процесса у больных отсутствуют.
Эффективного лечения АЛК не существует. То, что предлагается в настоящее время, носит в основном поддерживающий характер и включает генетическое консультирование, обезболивание НПВП, физиотерапию, лечебную физкультуру. В литературе сообщалось, что следует избегать продуктов с высоким содержанием фенилаланина и тирозина [17, 18]. В нескольких исследованиях также было высказано предположение, что может быть полезен витамин C, поскольку он препятствует окислению ГГК, тем самым предотвращая отложение охронотических пигментов [19]. Однако ни одно клиническое исследование не показало долгосрочную эффективность этих методов. В качестве потенциального средства для лечения тирозинемии применяется нитизинон. Экскреция ГГК с мочой при его применении заметно снижается, но долгосрочная клиническая эффективность и безопасность этого препарата также не были доказаны [20]. Рассматривается возможность применения N-ацетилцистеина как вещества, влияющего на антиоксидантные биомолекулы. В тяжелых случаях, с целью уменьшения болевого синдрома, требуется хирургическое вмешательство для замены разрушенных суставов. Результаты эндопротезирования крупных суставов у пациентов с алкаптонурическим охронозом сравнимы с результатами при остеоартрозах, не связанных с АЛК [21, 22].
Пациенту С. были даны рекомендации:
1. Избегать необоснованного приема лекарственных средств, ограничить прием нефротоксичных лекарственных препаратов (курсовой прием HПBП, нефротоксичные антибиотики, рентгеноконтрастные препараты).
2. Избегать переохлаждений, контактов с инфекционными больными. Своевременно лечить инфекционные заболевания.
3. Соблюдать адекватный водный режим (не менее 1,5 л в сутки равномерно в течение дня) под контролем суточного диуреза, массы тела.
4. Соблюдение диеты и медикаментозная терапия:
• диета с ограничением продуктов, богатых тирозином и фенилаланином;
• прием заменителей белка (аминокислотных cмeсей без содержания тирозина и фенилаланина) при развитии белковой недостаточности;
• ограничение соли до 5 г/сут. Исключить соленья, полуфабрикаты, колбасные изделия. Готовить без соли, готовые блюда не досаливать; при непереносимости строгой бессолевой диеты допускается немного подсолить готовые блюда. При отсутствии противопоказаний со стороны системы пищеварения можно использовать специи, пряности, чтобы пища не казалась пресной;
• витамин С (аскорбиновая кислота) по 100 мг утром и вечером;
• для купирования болей в суставах предпочтительно использовать парацетамол в таблетках по 500 мг в режиме «по требованию», не превышая максимальной допустимой суточной дозы в 2000 мг (4 таблетки);
• периндоприл 4 мг 1 раз в день под контролем АД;
• бисопролол 5 мг 1 раз в день под контролем ЧСС;
• тамсулозин 0,4 мг 1 раз в день;
• фебуксостат 40 мг 1 раз в день;
• выполнение ЭхоКГ не реже 1 раза в 12 мес;
• контроль общего белка и альбумина крови 1 раз в месяц;
• в качестве дополнительной терапии может обсуждаться назначение нитизинона по 5–10 мг/сут при прогрессировании заболевания.
Заключение
Приведенный нами клинический пример полностью соответствует данным литературы. У пациента с АЛК выявлены наличие ГГК в моче, охроноз ушных раковин, охронотическое поражение крупных суставов и позвоночника, которое было причиной развития торпидного болевого синдрома, ставшего показанием к проведению оперативного лечения. Интраоперационные изменения в левом коленном суставе также подтвердили диагноз.

Врачи, занимающиеся лечением пациентов с заболеваниями опорно-двигательного аппарата, должны знать об этом редком генетическом заболевании, особенно если дегенеративная артропатия прогрессирует гораздо быстрее, чем можно было бы ожидать в возрасте пациента. Практикующим врачам важно иметь настороженность в отношении данной патологии. Необходимо повышать информированность специалистов здравоохранения о методах диагностики, профилактики и особенностях ведения пациентов с данными состояниями.
Конфликт интересов. Авторы заявляют об отсутствии конфликта интересов.
Conflict of interests. The authors declare that there is not conflict of interests.
Финансирование. Исследование выполнено без спонсорской поддержки.
Acknowledgements. The study had no sponsorship.
Информация об авторах
Information about the authors
Никитин Никита Михайлович – студент, Институт клинической медицины им. Н.В. Склифосовского ФГАОУ ВО «Первый МГМУ им. И.М. Сеченова» (Сеченовский Университет). E-mail: nik-nikitin2003@mail.ru; ORCID: 0009-0001-7495-6422
Nikita M. Nikitin – Student, N.V. Sklifosovsky Institute of Clinical Medicine, Sechenov First Moscow State Medical University (Sechenov University). E-mail: nik-nikitin2003@mail.ru; ORCID: 0009-0001-7495-6422
Громова Маргарита Александровна – канд. мед. наук, доц. каф. факультетской терапии Института клинической медицины ФГАОУ ВО «РНИМУ им. Н.И. Пирогова», врач-ревматолог, АО «К+31 Запад». E-mail: margarita-gromov@mail.ru; ORCID: 0000-0002-3757-058X
Margarita A. Gromova – Cand. Sci. (Med.), Assoc. Prof., Pirogov Russian National Research Medical University, rheumatologist, JSC “K+31 West”. E-mail: margarita-gromov@mail.ru; ORCID: 0000-0002-3757-058X
Болотников Михаил Артурович – зав. отд-нием травматологии и ортопедии, ООО «Клиника Будь Здоров». E-mail: dr.bolotnikov@gmail.com; ORCID: 0009-0006-3002-7521
Mikhail A. Bolotnikov – Head of the Traumatology and Orthopedics Department, Klinika Bud’ Zdorov, LLC. E-mail: dr.bolotnikov@gmail.com; ORCID: 0009-0006-3002-7521
Бирюк Екатерина Сергеевна – врач-ревматолог, врач-терапевт, врач ультразвуковой диагностики суставно-мышечной системы, АО «К+31 Запад». E-mail: ekaterina.biryuk@mail.ru;
ORCID: 0009-0004-1117-4433
Ekaterina S. Biryuk – rheumatologist, therapist, functional diagnostics doctor, JSC “K+31 West”. E-mail: ekaterina.biryuk@mail.ru; ORCID: 0009-0004-1117-4433
Поступила в редакцию: 17.05.2025
Поступила после рецензирования: 23.05.2025
Принята к публикации: 29.05.2025
Received: 17.05.2025
Revised: 23.05.2025
Accepted: 29.05.2025
Список исп. литературыСкрыть список1. Rovenský J et al. (eds). Alkaptonuria and Ochronosis. Springer; 2015. DOI: 10.1007/978-3-319-15108-3_25
2. Aquaron R. Alkaptonuria: a very rare metabolic disorder. Indian
J Biochem Biophys 2013 Oct;50(5):339-44 . URL: http://nopr.niscair. res.in/handle/123456789/22650
3. Gallagher JA, Dillon JP, Sireau N et al. Alkaptonuria: An example of a «fundamental disease» – A rare disease with important lessons for more common disorders. Semin Cell Dev Biol 2016, Apr;52:53-7. DOI: 10.1016/j.semcdb.2016.02.020
4. Zatkova A. An update on molecular genetics of Alkaptonuria (AKU).
J Inherit Metab Dis 2011 Dec;34(6):1127-36. DOI: 10.1007/s10545–011–9363-z
5. Orphanet. URL: https://www.orpha.net/
6. Nemethova M, Radvanszky J, Kadasi L et al. Twelve novel HGD gene variants identified in 99 alkaptonuria patients: focus on ‘black bone disease’ in Italy. Eur J Hum Genet 2016, Jan;24(1):66-72. DOI: 10.1038/ejhg.2015.60
7. Ranganath L, Taylor AM, Shenkin A et al. Identification of alkaptonuria in the general population: a United Kingdom experience describing the challenges, possible solutions and persistent barriers. J Inherit Metab Dis 2011;34:723-30. DOI: 10.1007/ s10545-011-9282-z
8. Близнюков В.В., Коваленко А.Н., Румакин В.П. Вторичный деформирующий гонартроз на фоне охроноза (случай из клинической практики). Травматология и ортопедия России. 2013;(2):111-5. DOI: 10.21823/2311-2905-2013-2-111-115
Bliznyukov V.V., Kovalenko A.N., Rumakin V.P. Knee degenerative osteoarthritis secondary to ochronosis (case report). Traumatology and Orthopedics of Russia. 2013;(2):111-5. DOI: 10.21823/2311-2905-2013-2-111-115 (in Russian).
9. Горожанин А.В., Кузин А.В., Блудов А.Б. и др. Тяжелое поражение позвоночника при алкаптонурии. Описание клинического случая. Журнал «Вопросы нейрохирургии» имени Н.Н. Бурденко. 2021;85(5):104-9. DOI: 10.17116/neiro202185051104
Gorozhanin A.V., Kuzin A.V., Bludov A.B. et al. Severe spine lesion following alkaptonuria. Case report. Burdenko's Journal of Neurosurgery. 2021;85(5):104-9. DOI: 10.17116/neiro202185051104 (in Russian, in English).
10. Сердюк А.В., Ковражкина Е.А., Кулькова А.О. Алкаптонурия у пациента с вертебрально-базилярной недостаточностью: описание случая и обзор литературы. Consilium Medicum. 2017;19(2):51-5.
Serdiuk A.V., Kovrazhkina E.A., Kulkova A.O. Alcaptonuria patient with vertebrobasilar insufficiency: case report and literature review. Consilium Medicum. 2017;19(2):51-5 (in Russian).
11. O'Brien WM, La Du BN, Bunin JJ. Biochemical, pathologic, and clinical aspects of alcaptonuria, ochronosis and ochronotic arthropathy. Review of world literature. Am J Med 1963;34:813-38.
12. Jafri K, Gensler LS, Link TM. Clinical images: Ochronotic arthropathy. Arthritis Rheum 2017;69(11):2208. DOI: 10.1002/art.40184
13. Ranga U, Aiyappan SK, Shanmugam N, Veeraiyan S. Ochronotic spondyloarthropathy. J Clin Diagn Res 2013;7(2):403-4. DOI: 10.7860/JCDR/2013/4308.2782
14. Lange U, Müller-Ladner U, Dischereit G. Severe osteoarthritic manifestations of ochronosis. Z Rheumatol 2014;73(5):420-3. DOI: 10.1007/s00393-013-1343-215
15. Millucci L, Bernardini G, Spreafico A et al. Histological and ultrastructural characterization of alkaptonuric tissues. Calcif Tissue Int 2017;101(1):50-64. DOI: 10.1007/s00223-017-0260-9
16. Раденска-Лоповок С.Г., Тимакова А.А., Кузин А.В., Мурылев В.Ю. Алкаптонурия – морфологические изменения тканей суставов. Обзор литературы и собственные наблюдения. Архив патологии 2020;82(4):41-6. DOI: 10.17116/patol20208204141
Radenska-Lopovok S.G., Timakova A.A., Kuzin A.V., Murylev V.Yu. Alkaptonuria – morphological lesions of articular tissues. Literature review and case report. Russian Journal of Archive of Pathology 2020;82(4):41-6. DOI: 10.17116/patol20208204141 (in Russian).
17. de Haas V, Carbasius Weber EC, de Klerk JB et al. The success of dietary protein restriction in alkaptonuria patients is age-dependent.
J Inherit Metab Dis 1998;21:791-8. DOI: 10.1023/a:1005410416482
18. Mayatepek E, Kallas K, Anninos A, Müller E. Effects of ascorbic acid and low-protein diet in alkaptonuria. Eur J Pediatr 1998;157:867-8. DOI: 10.1007/s004310050956
19. Wolff JA, Barshop B, Nyhan WL et al. Effects of ascorbic acid in alkaptonuria: alterations in benzoquinone acetic acid and an ontogenic effect in infancy. Pediatr Res 1989;26:140-4. DOI: 10.1203/00006450-198908000-00015
20. Introne WJ, Perry MB, Troendle J et al. A 3-year randomized therapeutic trial of nitisinone in alkaptonuria. Mol Genet Metab 2011;103:307-14. DOI: 10.1016/j.ymgme.2011.04.016
21. Агзамов Д.С., Сайковский Р.С. Охроноз, его последствия и возможности хирургического лечения. Клиническая практика. 2010;1(1):21-4. DOI: 10.17816/clinpract1121-24
Agzamov D.S., Saykovskiy R.S. Ochronosis, its consequences and possibilities of surgical treatment. Journal of Clinical Practice. 2010;1(1):21-4. DOI: 10.17816/clinpract1121-24 (in Russian).
22. Karaoglu S, Karaaslan F, Mermerkaya MU. Long-term result of arthroplasty in the treatment of a case of ochronotic arthropathy. Acta Orthop Traumatol Turc 2016 Oct;50(5):584-6. DOI: 10.1016/j.aott.2016.08.018


