Клинический разбор в общей медицине №7 2025
Nikita R. Selishchev
Tsyb Medical Radiological Research Centre – branch of the National Medical Research Radiological Centre, Obninsk, Russia
a.kharitonova17@yandex.ru
Abstract
Lactating adenoma is a rare pathology found in pregnant women. A clinical case is presented in which typical clinical, cytological and histological signs characteristic of this neoplasm are described.
Keywords: lactating adenoma, benign breast neoplasm, pregnancy, fibroadenoma.
For citation: Kharitonova A.A., Malik D.S., Levitskaya N.V., Reznik I.P., Urezko O.A., Selishchev N.R. Lactating breast adenoma in a pregnant woman – a case report. Clinical review for general practice. 2025; 6 (7): 54–57 (In Russ.). DOI: 10.47407/kr2025.6.7.00644
Лактирующая аденома – редкое доброкачественное новообразование, развивающееся из клеток железистого эпителия. Возникает у женщин в возрасте от 20 до 40 лет, как правило, в III триместре беременности или во время грудного вскармливания. Чаще встречается у первородящих женщин, однако не исключается возможность возникновения аденомы и у повторнородящих [1].
Точная этиология лактирующей аденомы до сих пор остается неизвестной, но некоторые авторы предполагают, что она может возникать как de novo, так и из ранее существовавших тубулярных аденом, фиброаденом, участков дольковой гиперплазии. Чаще всего аденома представлена как четко пальпируемое и хорошо смещаемое округлое или овальное образование мягкоэластической консистенции, не связанное с кожей, которое обычно локализуется в переднем отделе молочной железы. Протекает без поражения регионарных лимфатических узлов. Размер опухоли не превышает 3 см, однако известны случаи, когда лактирующая аденома достигала размеров более 10 см [2–5].
Заболевание длительно протекает бессимптомно, и лишь по мере прогрессирования роста возможно появление чувства жжения или боли в области пораженной молочной железы, выделений из сосков разного цвета и характера.
Новообразование способно к инволюции, а хирургическое лечение требуется лишь в тех случаях, когда имеется множественный распространенный патологический процесс или кормление грудью вызывает у женщины неприятные ощущения и беспокойство. Во всех других ситуациях может быть назначена консервативная терапия в виде ингибиторов пролактина, которая, как правило, дает положительный результат [3, 4].
В большинстве случаев лактирующая аденома не рецидивирует локально и не обладает высокой способностью к малигнизации. Однако вызывает опасения тот факт, что лактирующая аденома имеет гистологическую схожесть с тубулярной аденомой, из которой возможно развитие карциномы.
M. Khanna и соавт. описан клинический случай, в котором была диагностирована лактирующая аденома с сопутствующей инфильтрирующей протоковой карциномой молочной железы. У 28-летней беременной женщины в течение 7 мес в левой молочной железе наблюдалась прогрессивно увеличивающаяся опухоль. При пальпации новообразование достигало 4 см в диаметре, было мягким и свободно подвижным, с обычными кожей и соском, регионарные лимфатические узлы увеличены не были. После удаления макроскопическая картина образования была представлена круглой плотной структурой, которая на разрезе была серовато-белой с кистозными полостями, пальпаторно ощущалась зернистость. При микроскопическом исследовании были обнаружены дольки разного размера, характеризующиеся разрастанием доброкачественных протоков, разделенных редкой промежуточной стромой. Протоки были выстланы вакуолизированными секреторными клетками, и в некоторых из них в просвете содержались эозинофильные выделения. В других очагах в строме были видны сплошные пласты злокачественных клеток, которые местами образовывали трубчатые и ацинарные структуры. Был выставлен диагноз «лактирующая аденома с сопутствующей инвазивной протоковой карциномой» [6].
H. Kumar и соавт. также представляют клинический случай лактирующей аденомы и инфильтративного протокового рака у девушки 25 лет. При цитологическом исследовании четких данных, свидетельствующих о наличии карциномы, получено не было. Однако после удаления новообразования по заключению патоморфологов была определена лактирующая аденома с гиперпластическими дольками, пролиферирующими ацинусами, которые были выстланы активно секретирующими кубовидными клетками. В близко прилежащих участках ткани были обнаружены опухолевые клетки, растущие из протоков и проникающие в строму, – очаги протоковой карциномы in situ с очагами некроза [7].
Обычно диагностика новообразования не вызывает затруднений. Приоритетным методом для беременных и лактирующих женщин является ультразвуковое исследование (УЗИ), так как при нем отсутствует любая дозовая нагрузка. В случае явного подозрения на злокачественность может быть проведена маммография с оценкой изменений в молочной железе по шкале
BIRADS. Данное исследование позволяет оценить наличие дополнительных поражений или микрокальцинатов, которые могут быть не замечены на УЗИ [2, 3, 5].
При осмотре форма молочных желез обычная, симметричная, молочные железы сформированы правильно. При пальпации в нижненаружном квадранте левой молочной железы определяется узловое образование плотноэластической консистенции, смещаемое относительно тканей молочной железы.
Инструментальная диагностика. По данным УЗИ дольковая структура и четкость дифференцировки тканей сохранены. Эхогенность фиброгландулярной ткани повышена. Лоцируются подчеркнутые гребни Дюрета и утолщенные связки Купера – строма фиброзирована. Диаметр терминальных и интралобарных молочных протоков не превышает 2 мм. Стенки не деформированы, уплотнены, не утолщены. Содержимое протоков однородное.
В правой молочной железе патологических образований не определяется. BIRADS – 1.
В левой молочной железе в нижненаружном квадранте на уровне средней трети и на глубине 3–21 мм, в тяже железистой ткани, определяется горизонтально расположенное, выраженно гипоэхогенное и четко очерченное гомогенное узловое образование дольчатой структуры размером 32×16×27 мм (7 см3). При цветовом и энергетическом допплеровском картировании определяются смешанный кровоток, преимущественно центральная васкуляризация узла – картина пролиферирующего образования. Окружающие ткани имеют повышенную эхогенность и содержат мелкие гипоэхогенные включения. BIRADS – 4a. Проведена тонкоигольная аспирационная биопсия образования.
Цитологическое исследование. При цитологическом исследовании в полученном материале выявлены многочисленные клетки кубического эпителия с округлыми ядрами, четкими нуклеолами, формирующие укрупненные шаровидные дольковые структуры, часть – с дегенеративными изменениями, отмечается наличие «голых» ядер. Также имеются отдельные тубулярные и сотоподобные структуры, многоядерность. Встречаются небольшое количество макрофагов, лимфоцитов, плазмоцитов, единичные многоядерные клетки, фибробласты. Цитологическая картина соответствует фиброзно-кистозной болезни с выраженной пролиферативной активностью, возросшей на фоне беременности. По Йокогамской классификации цитопатологий молочной железы 2016 г.: 3-я диагностическая категория – атипия неясного генеза.
Core-биопсия – тонкие прерывистые белесовато-серые столбики ткани длиной по 1,3 см. В материале – ткань молочной железы с плотно расположенными протоками, выстланными эпителием, без признаков атипии. Возможно, картина аденоза.
С целью верификации диагноза была выполнена секторальная резекция левой молочной железы. Под местной анестезией с применением 80 мл ропивокаина произведен окаймляющий разрез на границе нижненаружного квадранта левой молочной железы. Сектор молочной железы удален острым путем. Гемостаз. Полость послойно ушита. Послеоперационный период протекал без осложнений.
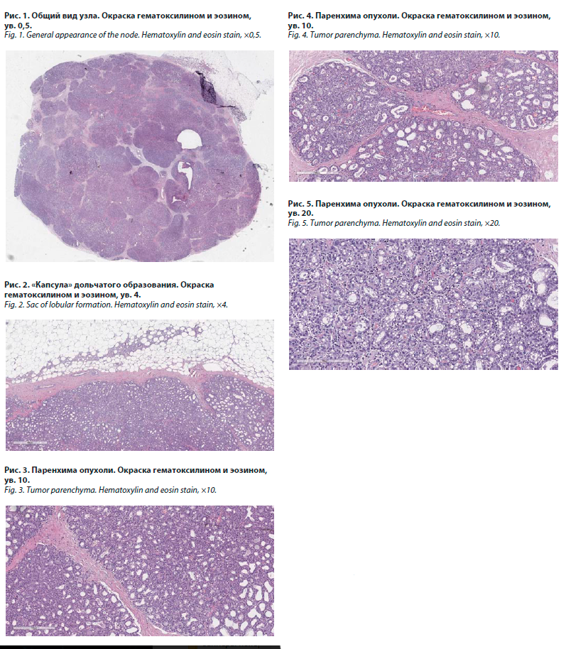
Гистологическое исследование. Макроскопически в удаленном секторе молочной железы размером 5×5×2,5 см определяется инкапсулированный желто-оранжевый узел (2,5×2×2,2 см). Микроскопически данный узел разделен фиброваскулярными прослойками, опухоль преимущественно тубулярного строения, из клеток с эозинофильной и просветленной цитоплазмой, округлыми и овальными ядрами, в которых определяются эозинофильные ядрышки. Очаги некроза отсутствуют. Признаков инвазивного роста образования в окружающие ткани молочной железы не обнаружено. Ангиоваскулярной инвазии и периневрального роста нет. Морфологическая картина подозрительна в отношении тубулярной аденомы молочной железы (рис. 1–5).

Для уточнения диагноза проведено иммуногистохимическое исследование. Обнаружена диффузная выраженная ядерная экспрессия р63, цитоплазматическая экспрессия SMA в миоэпителиальных клетках, цитоплазматическая экспрессия CK/18 в люминальных клетках, образующих тубулярные структуры. Миоэпителиальный слой сохранен повсеместно (р63+, SMA+).
Таким образом, на основании клинических, морфологических данных и заключения иммуногистохимического исследования был подтвержден диагноз – лактирующая аденома молочной железы.
В процессе своего развития новообразование никак не влияет на процесс вынашивания, состояние молочной железы и способность к лактации, однако рекомендовано хирургическое иссечение образования до родоразрешения в связи с потенциальным риском лактостаза.
В период беременности гормональный фон женщины претерпевает значительные изменения, что является дополнительным фактором риска, который может привести к стимуляции и развитию онкологических заболеваний. Поэтому в данный период жизни женщины необходимо проявлять дополнительную онконастороженность по отношению к любым новообразованиям, возникающим в молочной железе.
Конфликт интересов. Авторы заявляют об отсутствии конфликта интересов.
Conflict of interest. The authors declare no conflict of interest.
Финансирование. Работа выполнена без спонсорской поддержки.
Acknowledgements. The study had no sponsorship.
Соблюдение прав пациентов и правил биоэтики. Пациентка подписала информированное согласие на публикацию своих данных.
Compliance with patients’ rights and bioethics rules. The patient signed an informed consent for the publication of her data.
Информация об авторах
Information about the authors
Харитонова Алёна Андреевна – канд. мед. наук, науч. сотр., врач-онколог отд-ния лучевых и комбинированных методов лечения гинекологических заболеваний с группой восстановительной и эстетической медицины МРНЦ им. А.Ф. Цыба – филиал ФГБУ «НМИЦ радиологии». E-mail: a.kharitonova17@yandex.ru; ORCID: 0000-0001-9893-5143
Alena A. Kharitonova – Cand. Sci. (Med.), Res. Officer, oncologist, Tsyb Medical Radiological Research Centre – branch of the National Medical Research Radiological Centre. E-mail: a.kharitonova17@yandex.ru; ORCID: 0000-0001-9893-5143
Малик Денис Сергеевич – канд. мед. наук, врач-онколог, врач пластический хирург отд-ния лучевых и комбинированных методов лечения гинекологических заболеваний с группой восстановительной и эстетической медицины МРНЦ им. А.Ф. Цыба – филиал ФГБУ «НМИЦ радиологии». E-mail: denis-malik@mail.ru; ORCID: 0000-0001-7008-0809
Denis S. Malik – Cand. Sci. (Med.), oncologist, plastic surgeon, Tsyb Medical Radiological Research Centre – branch of the National Medical Research Radiological Centre. E-mail: denis-malik@mail.ru;
ORCID: 0000-0001-7008-0809
Левицкая Наталья Вячеславовна – канд. мед. наук, зав. отд-нием лучевых и комбинированных методов лечения гинекологических заболеваний с группой восстановительной и эстетической медицины МРНЦ им. А.Ф. Цыба – филиал ФГБУ «НМИЦ радиологии». E-mail: natalevicka@yahoo.com; ORCID: 0000-0002-3445-8488
Natalia V. Levitskaya – Cand. Sci. (Med.), Tsyb Medical Radiological Research Centre – branch of the National Medical Research Radiological Centre. E-mail: natalevicka@yahoo.com; ORCID: 0000-0002-3445-8488
Резник Иван Павлович – врач-патологоанатом клинико-морфологического отдела МРНЦ им. А.Ф. Цыба – филиал ФГБУ «НМИЦ радиологии». E-mail: dr_reznik.ip@mail.ru; ORCID: 0009-0008-2841-9870
Ivan P. Reznik – pathologist, Tsyb Medical Radiological Research Centre – branch of the National Medical Research Radiological Centre. E-mail: dr_reznik.ip@mail.ru; ORCID: 0009-0008-2841-9870
Урезко Ольга Андреевна – клинический ординатор, МРНЦ им. А.Ф. Цыба – филиал ФГБУ «НМИЦ радиологии». E-mail:
urezko.olga@yandex.ru; ORCID: 0000-0002-4529-4490
Olga A. Urezko – Clinical Resident, Tsyb Medical Radiological Research Centre – branch of the National Medical Research Radiological Centre. E-mail: urezko.olga@yandex.ru; ORCID: 0000-0002-4529-4490
Селищев Никита Романович – клинический ординатор МРНЦ им. А.Ф. Цыба – филиал ФГБУ «НМИЦ радиологии».
E-mail: nselishev@bk.ru; ORCID: 0009-0000-2019-2773
Nikita R. Selishchev – Clinical Resident, Tsyb Medical Radiological Research Centre – branch of the National Medical Research Radiological Centre. E-mail: nselishev@bk.ru; ORCID: 0009-0000-2019-2773
Поступила в редакцию: 04.03.2025
Поступила после рецензирования: 24.03.2025
Принята к публикации: 27.03.2025
Received: 04.03.2025
Revised: 24.03.2025
Accepted: 27.03.2025
Клинический разбор в общей медицине №7 2025
Лактирующая аденома молочной железы у беременной женщины – клинический случай
Номера страниц в выпуске:54-57
Аннотация
Лактирующая аденома – редкая патология, встречающаяся у беременных женщин. Представлен клинический случай, в котором описаны типичные клинические, цитологические и гистологические признаки, характерные для данного новообразования.
Ключевые слова: лактирующая аденома, доброкачественное новообразование молочной железы, беременность, фиброаденома.
Для цитирования: Харитонова А.А., Малик Д.С., Левицкая Н.В., Резник И.П., Урезко О.А., Селищев Н.Р. Лактирующая аденома молочной железы у беременной женщины – клинический случай. Клинический разбор в общей медицине. 2025; 6 (7): 54–57. DOI: 10.47407/kr2025.6.7.00644
Лактирующая аденома – редкая патология, встречающаяся у беременных женщин. Представлен клинический случай, в котором описаны типичные клинические, цитологические и гистологические признаки, характерные для данного новообразования.
Ключевые слова: лактирующая аденома, доброкачественное новообразование молочной железы, беременность, фиброаденома.
Для цитирования: Харитонова А.А., Малик Д.С., Левицкая Н.В., Резник И.П., Урезко О.А., Селищев Н.Р. Лактирующая аденома молочной железы у беременной женщины – клинический случай. Клинический разбор в общей медицине. 2025; 6 (7): 54–57. DOI: 10.47407/kr2025.6.7.00644
Lactating breast adenoma in a pregnant woman – a case report
Alena A. Kharitonova, Denis S. Malik, Natalia V. Levitskaya, Ivan P. Reznik, Olga A. Urezko,Nikita R. Selishchev
Tsyb Medical Radiological Research Centre – branch of the National Medical Research Radiological Centre, Obninsk, Russia
a.kharitonova17@yandex.ru
Abstract
Lactating adenoma is a rare pathology found in pregnant women. A clinical case is presented in which typical clinical, cytological and histological signs characteristic of this neoplasm are described.
Keywords: lactating adenoma, benign breast neoplasm, pregnancy, fibroadenoma.
For citation: Kharitonova A.A., Malik D.S., Levitskaya N.V., Reznik I.P., Urezko O.A., Selishchev N.R. Lactating breast adenoma in a pregnant woman – a case report. Clinical review for general practice. 2025; 6 (7): 54–57 (In Russ.). DOI: 10.47407/kr2025.6.7.00644
Лактирующая аденома – редкое доброкачественное новообразование, развивающееся из клеток железистого эпителия. Возникает у женщин в возрасте от 20 до 40 лет, как правило, в III триместре беременности или во время грудного вскармливания. Чаще встречается у первородящих женщин, однако не исключается возможность возникновения аденомы и у повторнородящих [1].
Точная этиология лактирующей аденомы до сих пор остается неизвестной, но некоторые авторы предполагают, что она может возникать как de novo, так и из ранее существовавших тубулярных аденом, фиброаденом, участков дольковой гиперплазии. Чаще всего аденома представлена как четко пальпируемое и хорошо смещаемое округлое или овальное образование мягкоэластической консистенции, не связанное с кожей, которое обычно локализуется в переднем отделе молочной железы. Протекает без поражения регионарных лимфатических узлов. Размер опухоли не превышает 3 см, однако известны случаи, когда лактирующая аденома достигала размеров более 10 см [2–5].
Заболевание длительно протекает бессимптомно, и лишь по мере прогрессирования роста возможно появление чувства жжения или боли в области пораженной молочной железы, выделений из сосков разного цвета и характера.
Новообразование способно к инволюции, а хирургическое лечение требуется лишь в тех случаях, когда имеется множественный распространенный патологический процесс или кормление грудью вызывает у женщины неприятные ощущения и беспокойство. Во всех других ситуациях может быть назначена консервативная терапия в виде ингибиторов пролактина, которая, как правило, дает положительный результат [3, 4].
В большинстве случаев лактирующая аденома не рецидивирует локально и не обладает высокой способностью к малигнизации. Однако вызывает опасения тот факт, что лактирующая аденома имеет гистологическую схожесть с тубулярной аденомой, из которой возможно развитие карциномы.
M. Khanna и соавт. описан клинический случай, в котором была диагностирована лактирующая аденома с сопутствующей инфильтрирующей протоковой карциномой молочной железы. У 28-летней беременной женщины в течение 7 мес в левой молочной железе наблюдалась прогрессивно увеличивающаяся опухоль. При пальпации новообразование достигало 4 см в диаметре, было мягким и свободно подвижным, с обычными кожей и соском, регионарные лимфатические узлы увеличены не были. После удаления макроскопическая картина образования была представлена круглой плотной структурой, которая на разрезе была серовато-белой с кистозными полостями, пальпаторно ощущалась зернистость. При микроскопическом исследовании были обнаружены дольки разного размера, характеризующиеся разрастанием доброкачественных протоков, разделенных редкой промежуточной стромой. Протоки были выстланы вакуолизированными секреторными клетками, и в некоторых из них в просвете содержались эозинофильные выделения. В других очагах в строме были видны сплошные пласты злокачественных клеток, которые местами образовывали трубчатые и ацинарные структуры. Был выставлен диагноз «лактирующая аденома с сопутствующей инвазивной протоковой карциномой» [6].
H. Kumar и соавт. также представляют клинический случай лактирующей аденомы и инфильтративного протокового рака у девушки 25 лет. При цитологическом исследовании четких данных, свидетельствующих о наличии карциномы, получено не было. Однако после удаления новообразования по заключению патоморфологов была определена лактирующая аденома с гиперпластическими дольками, пролиферирующими ацинусами, которые были выстланы активно секретирующими кубовидными клетками. В близко прилежащих участках ткани были обнаружены опухолевые клетки, растущие из протоков и проникающие в строму, – очаги протоковой карциномы in situ с очагами некроза [7].
Обычно диагностика новообразования не вызывает затруднений. Приоритетным методом для беременных и лактирующих женщин является ультразвуковое исследование (УЗИ), так как при нем отсутствует любая дозовая нагрузка. В случае явного подозрения на злокачественность может быть проведена маммография с оценкой изменений в молочной железе по шкале
BIRADS. Данное исследование позволяет оценить наличие дополнительных поражений или микрокальцинатов, которые могут быть не замечены на УЗИ [2, 3, 5].
Клинический случай
Пациентка Е., 41 года, находящаяся на 30-й неделе беременности, обратилась в МРНЦ им. А.Ф. Цыба – филиал ФГБУ «НМИЦ радиологии» Минздрава России по поводу наличия образования в левой молочной железе. Из анамнеза жизни известно, что пациентка росла и развивалась без особенностей, менструальный цикл регулярный. Принимает гормонотерапию – L-тироксин.При осмотре форма молочных желез обычная, симметричная, молочные железы сформированы правильно. При пальпации в нижненаружном квадранте левой молочной железы определяется узловое образование плотноэластической консистенции, смещаемое относительно тканей молочной железы.
Инструментальная диагностика. По данным УЗИ дольковая структура и четкость дифференцировки тканей сохранены. Эхогенность фиброгландулярной ткани повышена. Лоцируются подчеркнутые гребни Дюрета и утолщенные связки Купера – строма фиброзирована. Диаметр терминальных и интралобарных молочных протоков не превышает 2 мм. Стенки не деформированы, уплотнены, не утолщены. Содержимое протоков однородное.
В правой молочной железе патологических образований не определяется. BIRADS – 1.
В левой молочной железе в нижненаружном квадранте на уровне средней трети и на глубине 3–21 мм, в тяже железистой ткани, определяется горизонтально расположенное, выраженно гипоэхогенное и четко очерченное гомогенное узловое образование дольчатой структуры размером 32×16×27 мм (7 см3). При цветовом и энергетическом допплеровском картировании определяются смешанный кровоток, преимущественно центральная васкуляризация узла – картина пролиферирующего образования. Окружающие ткани имеют повышенную эхогенность и содержат мелкие гипоэхогенные включения. BIRADS – 4a. Проведена тонкоигольная аспирационная биопсия образования.
Цитологическое исследование. При цитологическом исследовании в полученном материале выявлены многочисленные клетки кубического эпителия с округлыми ядрами, четкими нуклеолами, формирующие укрупненные шаровидные дольковые структуры, часть – с дегенеративными изменениями, отмечается наличие «голых» ядер. Также имеются отдельные тубулярные и сотоподобные структуры, многоядерность. Встречаются небольшое количество макрофагов, лимфоцитов, плазмоцитов, единичные многоядерные клетки, фибробласты. Цитологическая картина соответствует фиброзно-кистозной болезни с выраженной пролиферативной активностью, возросшей на фоне беременности. По Йокогамской классификации цитопатологий молочной железы 2016 г.: 3-я диагностическая категория – атипия неясного генеза.
Core-биопсия – тонкие прерывистые белесовато-серые столбики ткани длиной по 1,3 см. В материале – ткань молочной железы с плотно расположенными протоками, выстланными эпителием, без признаков атипии. Возможно, картина аденоза.
С целью верификации диагноза была выполнена секторальная резекция левой молочной железы. Под местной анестезией с применением 80 мл ропивокаина произведен окаймляющий разрез на границе нижненаружного квадранта левой молочной железы. Сектор молочной железы удален острым путем. Гемостаз. Полость послойно ушита. Послеоперационный период протекал без осложнений.
Гистологическое исследование. Макроскопически в удаленном секторе молочной железы размером 5×5×2,5 см определяется инкапсулированный желто-оранжевый узел (2,5×2×2,2 см). Микроскопически данный узел разделен фиброваскулярными прослойками, опухоль преимущественно тубулярного строения, из клеток с эозинофильной и просветленной цитоплазмой, округлыми и овальными ядрами, в которых определяются эозинофильные ядрышки. Очаги некроза отсутствуют. Признаков инвазивного роста образования в окружающие ткани молочной железы не обнаружено. Ангиоваскулярной инвазии и периневрального роста нет. Морфологическая картина подозрительна в отношении тубулярной аденомы молочной железы (рис. 1–5).

Для уточнения диагноза проведено иммуногистохимическое исследование. Обнаружена диффузная выраженная ядерная экспрессия р63, цитоплазматическая экспрессия SMA в миоэпителиальных клетках, цитоплазматическая экспрессия CK/18 в люминальных клетках, образующих тубулярные структуры. Миоэпителиальный слой сохранен повсеместно (р63+, SMA+).
Таким образом, на основании клинических, морфологических данных и заключения иммуногистохимического исследования был подтвержден диагноз – лактирующая аденома молочной железы.
Заключение
Специалистам всегда нужно помнить о том, что лактирующую аденому трудно дифференцировать от других патологических изменений, таких как фиброаденома, тубулярная аденома или филлоидная опухоль.В процессе своего развития новообразование никак не влияет на процесс вынашивания, состояние молочной железы и способность к лактации, однако рекомендовано хирургическое иссечение образования до родоразрешения в связи с потенциальным риском лактостаза.
В период беременности гормональный фон женщины претерпевает значительные изменения, что является дополнительным фактором риска, который может привести к стимуляции и развитию онкологических заболеваний. Поэтому в данный период жизни женщины необходимо проявлять дополнительную онконастороженность по отношению к любым новообразованиям, возникающим в молочной железе.
Конфликт интересов. Авторы заявляют об отсутствии конфликта интересов.
Conflict of interest. The authors declare no conflict of interest.
Финансирование. Работа выполнена без спонсорской поддержки.
Acknowledgements. The study had no sponsorship.
Соблюдение прав пациентов и правил биоэтики. Пациентка подписала информированное согласие на публикацию своих данных.
Compliance with patients’ rights and bioethics rules. The patient signed an informed consent for the publication of her data.
Информация об авторах
Information about the authors
Харитонова Алёна Андреевна – канд. мед. наук, науч. сотр., врач-онколог отд-ния лучевых и комбинированных методов лечения гинекологических заболеваний с группой восстановительной и эстетической медицины МРНЦ им. А.Ф. Цыба – филиал ФГБУ «НМИЦ радиологии». E-mail: a.kharitonova17@yandex.ru; ORCID: 0000-0001-9893-5143
Alena A. Kharitonova – Cand. Sci. (Med.), Res. Officer, oncologist, Tsyb Medical Radiological Research Centre – branch of the National Medical Research Radiological Centre. E-mail: a.kharitonova17@yandex.ru; ORCID: 0000-0001-9893-5143
Малик Денис Сергеевич – канд. мед. наук, врач-онколог, врач пластический хирург отд-ния лучевых и комбинированных методов лечения гинекологических заболеваний с группой восстановительной и эстетической медицины МРНЦ им. А.Ф. Цыба – филиал ФГБУ «НМИЦ радиологии». E-mail: denis-malik@mail.ru; ORCID: 0000-0001-7008-0809
Denis S. Malik – Cand. Sci. (Med.), oncologist, plastic surgeon, Tsyb Medical Radiological Research Centre – branch of the National Medical Research Radiological Centre. E-mail: denis-malik@mail.ru;
ORCID: 0000-0001-7008-0809
Левицкая Наталья Вячеславовна – канд. мед. наук, зав. отд-нием лучевых и комбинированных методов лечения гинекологических заболеваний с группой восстановительной и эстетической медицины МРНЦ им. А.Ф. Цыба – филиал ФГБУ «НМИЦ радиологии». E-mail: natalevicka@yahoo.com; ORCID: 0000-0002-3445-8488
Natalia V. Levitskaya – Cand. Sci. (Med.), Tsyb Medical Radiological Research Centre – branch of the National Medical Research Radiological Centre. E-mail: natalevicka@yahoo.com; ORCID: 0000-0002-3445-8488
Резник Иван Павлович – врач-патологоанатом клинико-морфологического отдела МРНЦ им. А.Ф. Цыба – филиал ФГБУ «НМИЦ радиологии». E-mail: dr_reznik.ip@mail.ru; ORCID: 0009-0008-2841-9870
Ivan P. Reznik – pathologist, Tsyb Medical Radiological Research Centre – branch of the National Medical Research Radiological Centre. E-mail: dr_reznik.ip@mail.ru; ORCID: 0009-0008-2841-9870
Урезко Ольга Андреевна – клинический ординатор, МРНЦ им. А.Ф. Цыба – филиал ФГБУ «НМИЦ радиологии». E-mail:
urezko.olga@yandex.ru; ORCID: 0000-0002-4529-4490
Olga A. Urezko – Clinical Resident, Tsyb Medical Radiological Research Centre – branch of the National Medical Research Radiological Centre. E-mail: urezko.olga@yandex.ru; ORCID: 0000-0002-4529-4490
Селищев Никита Романович – клинический ординатор МРНЦ им. А.Ф. Цыба – филиал ФГБУ «НМИЦ радиологии».
E-mail: nselishev@bk.ru; ORCID: 0009-0000-2019-2773
Nikita R. Selishchev – Clinical Resident, Tsyb Medical Radiological Research Centre – branch of the National Medical Research Radiological Centre. E-mail: nselishev@bk.ru; ORCID: 0009-0000-2019-2773
Поступила в редакцию: 04.03.2025
Поступила после рецензирования: 24.03.2025
Принята к публикации: 27.03.2025
Received: 04.03.2025
Revised: 24.03.2025
Accepted: 27.03.2025
Список исп. литературыСкрыть список1. Moulaz IR, de Oliveira FSS, da Silva EC, et al. Giant lactating adenoma. Autops Case Rep. 2021 Apr 15;11:e2021252. DOI: 10.4322/acr. 2021.252
2. Monib S, Elkorety M. Giant Lactating Adenoma – Size of a Shot Put Ball. Eur J Case Rep Intern Med. 2020 Mar 18;7(5):001579. DOI: 10.12890/2020_001579
3. Сарибекян Э.К., Зикиряходжаев А.Д., Славнова Е.Н. и др. Возможности цитологической диагностики лактирующей аденомы молочной железы (клиническое наблюдение). Клиническая лабораторная диагностика. 2019;64(5):284-6. DOI: 10.18821/0869-2084-2019-64-5-284-286
Saribekyan E.K., Zikirjakhodzaev A.D., Slavnova E.N., et al. Possibilities of cytological diagnostics of lactated breast adenoma. Clinical report. Klinicheskaya Laboratornaya Diagnostika = Russian Clinical Laboratory Diagnostics. 2019;64(5):284-6. DOI: 10.18821/0869-2084-2019-64-5-284-286 (in Russian).
4. Pinamonti M, Zanconati F. Breast Cytopathology. Assessing the Value of FNAC in the Diagnosis of Breast Lesions. London: Karger; 2018. DOI: 10.1159/isbn.978-3-318-06141-3
5. Magno S, Terribile D, Franceschini G, et al. Early onset lactating adenoma and the role of breast MRI: a case report. J Med Case Report. 2009;3:43. DOI: 10.1186/1752-1947-3-43
6. Khanna M, Manjari M, Khanna A. Lactating adenoma with infiltrating ductal carcinoma breast in a pregnant woman. Indian J Cancer. 2015;52(4):585-6. DOI: 10.4103/0019-509X.178391
7. Kumar H, Narasimha A, Bhaskaran, M N DR. Concurrent Lactating Adenoma and Infiltrating Ductal Carcinoma: A Case Report. J Clin Diagn Res. 2015 Aug;9(8):ED14-5. DOI: 10.7860/JCDR/2015/12786.6326
3 сентября 2025
Количество просмотров: 343


